Dental crown and bridges treatment for tooth decay, broken teeth, dental crowns Chandigarh. Safe, affordable, and durable dental treatment at Bristles Dental Studios. SAVE your Tooth Now using Dental Crowns and Bridges.



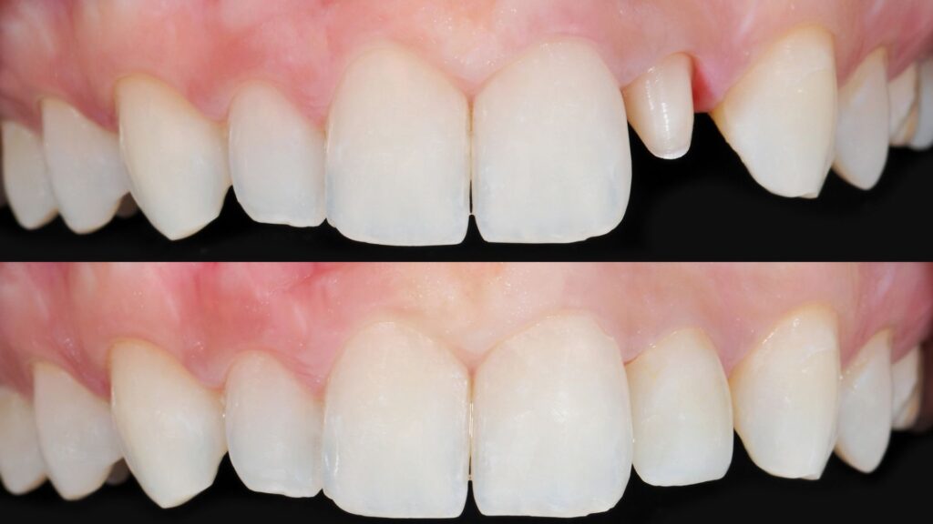
A permanent crown or bridge can replace a lost tooth, its related structure, and provide support for neighboring teeth. There are several types of dental crowns and bridges that are used in our practice in Chandigarh to replace or restore teeth that have been damaged by decay or trauma.

You can consult with one of our dentists through video call or over the phone, meaning you don’t have to make a visit to see us.

Our focus at Bristles Dental Studios is on prevention and patient education. We strive to make your smile perfect! We provide dental care to patients from all walks of life.

Accessible dentistry is about making sure that no one with mobility issues is excluded from any procedure or treatment.

Our team is committed to making sure that you have a pleasant experience at our office so you can achieve long-lasting oral health.
Dental crowns and bridges are used to replace missing or damaged teeth. The two are similar, but there are some distinct differences. Both address the loss of an entire tooth, but dental bridges are used to replace missing teeth, while crowns are used to replace teeth that are still there. Both dental bridges and crowns are used to protect teeth. Dental crowns are also used to strengthen teeth that are weakened by decay, cracks, chips, or other dental issues.
tanishka sharmaTrustindex verifies that the original source of the review is Google. Best dental clinic in chandigarh, I was so hapy woth their services. The doctors were really good and made me comfortable and understood my problem. The staff was really kind. :) kashish krishnatreyTrustindex verifies that the original source of the review is Google. Best dental clinic in Chandigarh. I really liked their service, I felt comfortable with my procedure and treated well. R BTrustindex verifies that the original source of the review is Google. Had a very good experience with dr palak and dr samar.. both very professional, honest, authentic and patient Dharmendra PantTrustindex verifies that the original source of the review is Google. Absolutely Exceptional Experience at Bristles Dental Studio! I recently underwent dental implant and cap procedures at Bristle Dental Studio, and I couldn’t be more satisfied with the care and results I received. From the moment I walked in, I was impressed by the clinic’s professionalism, cleanliness, and warm, welcoming environment. The entire team was incredibly attentive and made sure I was comfortable at every stage of the process. The dentists explained each step with clarity and patience, which really helped ease my anxiety. The implant procedure was surprisingly smooth, and the attention to detail in fitting the caps was remarkable. The results are not only functional but also aesthetically outstanding — my smile looks and feels completely natural. What truly sets Bristle apart is their commitment to quality and patient satisfaction. They used the latest technology, maintained top-notch hygiene standards, and never rushed through any part of the treatment. It’s clear that they genuinely care about their patients’ long-term oral health. If you're looking for a trustworthy, skilled, and compassionate dental team, Bristles Dental Clinic is the place to go. I highly recommend them to anyone in need of dental implants, caps, or any dental care — you’ll be in the best hands! Rahul RamolaTrustindex verifies that the original source of the review is Google. I visited Bristles Dental Studio for my mother’s surgical tooth implants. From our very first visit, Dr. Sammar patiently listened to our concerns and explained various treatment options tailored to our budget. He guided us through multiple surgical procedures, helping us choose the most suitable one without compromising on quality, and even offered us a generous discount. What truly stood out was Dr. Sammar’s blend of professionalism and empathy, which made us feel confident and comfortable in our decision. Throughout the treatment, my mother consistently mentioned how cooperative and professional the staff was. They were flexible with scheduling, allowing us to choose surgery slots that suited our availability. The implant procedure itself was conducted with utmost care—my mother felt comfortable and experienced minimal pain. The team also followed up regularly to ensure her well-being during recovery. I highly recommend Dr. Sammar and the Bristles team for anyone seeking dental care. Unlike many corporate clinics that focus on upselling expensive treatments, Bristles prioritizes patient care, providing effective solutions that deliver great results within your budget. Their genuine compassion and commitment to quality truly set them apart. Sahib GhumanTrustindex verifies that the original source of the review is Google. Treatment ran over a course of ~15 months. Great experience with both treatment & doctors. The staff is very coordial as well. Recommended. SRIWMP UnaTrustindex verifies that the original source of the review is Google. As one walks in, a calm , comfortable feeling sets in. AC cooled air and warm reception awaits. Visit is by appointment. Shoe covers for hygiene are donned .At the outset, these factors along with the facility being on the ground floor, next to parking, sets it apart from other dental facilities thus it correctly bears the title of studio. I had gone for correction of molars. The options on procedure and costs were explained. ( After they , a team of 2, studied the scans etc). Extractions were painless. Hardly felt the injections and other swabs to numb the jaw. The posts were placed for the implants. Studio has acquired up to date equipment for taking digital impression rather than the traditional clay type material used erstwhile. So no mess of remnants sticking to the teeth etc. Goes without saying that proper sterilized equipment and water is used. Best part is that , the procedure to be done is explained beforehand, with signals in case of pain. One is informed gently, when to open mouth wide and when to relax ,so on. Support staff extracts the water , saliva, detritus with proper suction tube. No shortcuts taken. I do not know the technical terms, but the procedure....4 implants supporting 6 molars went smoothly, thanks to Dr Grover , Dr Palak, Dr Nancy. SWARANJIT KAURTrustindex verifies that the original source of the review is Google. Bristles dental studio very nice and doctors are very capable in everything they listen the problem of the patient very calmy and they solve the problem very kindly staff are the good nd nice friendly nd very calm overall 10/10 Nitika SharmaTrustindex verifies that the original source of the review is Google. Visited for tooth sensitivity, and the team here took it seriously. Turned out it was early-stage decay. They treated it conservatively and saved me from needing a root canal. The clinic has a very calm and clean environment.
Have questions about your dental health? You're not alone. Explore answers to the most common concerns related to oral hygiene, dental treatments, and how to keep your smile healthy for life.